Originally published at Pediatric Emergency Playbook on April 1, 2019 – Visit to listen to accompanying podcast. Reposted with permission.

Follow Dr. Tim Horeczko on twitter @EMTogether


Johnny has fallen on an outstretched hand, and comes to you with a swollen, painful elbow.

Position of comfort, analgesia, xrays, and now what?

What am I seeing — or not seeing — here?

First a refresher on radiographic anatomy of the elbow —

elbow-2elbow-5

 

 

 

 

 

 

 

 

 

 

 

 

 

 

 

 

 

 

Images courtesy of Radioglypics (Open Access Radiology Education). Used with permission.

Now that we have our adult anatomy reviewed, let’s go through the development of the elbow in a child.

We are all born with primary ossification centers — the basic shapes of our long bones.  Secondary ossification centers then develop around the ends of our long bones, and make interpretation of films in the context of suspected injury difficult.

Elbow Interpretation Roadmap: CRITOE

More pragmatic and utilitarian than a prosaic mnemonic, CRITOE helps us to remember the order of ossification of the pediatric elbow.

Although children develop at different rates, the order of ossification is programmed into us.  Images courtesy of Radiopaedia.


Capitellum

By age one, the capitellum ossifies. On the AP view, imagine a little white oval balloon floating in the darkness between the radius and the humerus.

bf2644834a28a8c290a9f31bdb4597

 


Radial Head

By age three, the capitellum gets another little balloon to join the party. The radial head is a bony little balloon that floats just above the floor.  If you see both little balloons floating on either ends of the space between the humerus and the radius – you know this child is about three years old.

b7a788f4e41748dddc5703afa891b8_big_gallery

 

 

 

 

 

 

 

 

 

 

 

 

 


Internal Epicondyle

By the age of five, the capitellum and radial head are no longer little floating balloons, but now taking on shapes that resemble what they will look like as an adult. By age five, you’ve grown out of balloons, and have moved on to Frisbees.  The internal epicondyle (meaning the medial epicondyle) starts to ossify by age five – a little bony Frisbee.

a0f9ca4fbe4a2a7bfe835c30b7236b_big_gallery

 

 

 

 

 

 

 

 

 

 

 

 

 


Trochlea

By age seven, another little Frisbee flies around. On the AP view, the trochlea is superimposed on the humerus – if you look at the distal medial humerus, you’ll see the trochlea like a little oval Frisbee taking shape (see combined film below).

 


Olecranon

By age nine, the olecranon of the ulna is ossifying.  In a nine year old, you’ll see a capitellum, radial head, internal epicondyle, trochlea, and olecranon.

0fa6668f5dfbcb8dee634c8c3df869_big_gallery

 

 

 

 

 

 

 

 

 

 

 

 

 


External Epidondyle

By age 11, you start to ossify your external epicondyle (lateral epicondyle).

2beaa6f3d81c0fa4bf58c198ccbd5c_big_gallery

 

 

 

 

 

 

 

 

 

 

 

 

 

Pediatric Elbow Films: Putting It All Together

Watch this dynamic video by Dr Jeremy Jones from Radiopaedia:

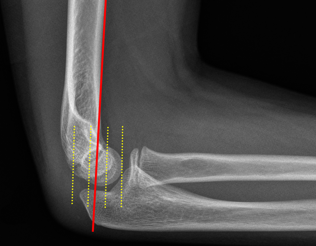
Fracture Saviors: Fat Pads and Drawn Lines

These three things can save us: fat pads, the anterior humeral line, and the radiocapitellar line. Non-annotated images courtesy of Heidi Nunn.

Normal anterior fat pad

elbow-normal-anterior-fat-pad

Sail sign: billowing hypodensity, indicating blood; sometimes the only (indirect) sign of an elbow fractureanterior-fat-pad-use-this

Posterior fat pad: always pathologic

elbow-sail-sign

Radiocapitellar Line: line through the radial neck bisects the capitellum

radiocapitellar-line

Anterior Humeral Line: a line drawn along the anterior margin of the humerus should run through the middle third of the capitellum.

Baumann’s angle (carrying angle): Normal is 70 to 75 degrees.  A difference between extremities of just 5 degrees or more is abnormal.

Baumann's Angle

Supracondylar fractures: Gartland Classification

gartland

 

 

 

 

 

Compartment Syndrome

Pain out of proportion to examparesthesiaspallorpoikilothermiapulselessness, and paralysis

antecubital

 

 

 

 

 

 

 

 

 

The 6 Ps of compartment syndrome are not sensitive in children.

The only thing that may alert you to increasing compartment pressures in children is an increasing need for analgesics.

Volkmann’s ischemic contracture

Untreated compartment syndrome results in thrombosis, edema, ischemia, and disabling contracture.

b9781416029021500206_gr52bab9fd9cbca039c01fc0806370cd70a4

 

 

 

 

Other Elbow Injuriestoddler_running_and_falling

(Details in podcast audio)

Lateral Condyle Fracture

Medial Epicondyle Fracture

Radial head and radial neck fractures

Olecranon fractures

Elbow dislocation

Radial head subluxation (nursemaid’s elbow)

Medial epicondylar apophysitis (Little leager’s elbow)

 

Test your retention: check out this interactive post from the team at Don’t Forget the Bubbles.

 

Key Points and Summary

The most important pediatric elbow injury is the supracondylar fracture. Grade I is minimally displaced and needs a cast; Grade II is displaced, but with the posterior cortex intact; after closed reduction, the child may still need surgery; Grade III fractures all need closed reduction, internal fixation, and close monitoring for compartment syndrome.

CRITOE gives us the order of ossification for the pediatric elbow – capitellum, radial head, internal epicondyle, trochlea, external epicondyle, and olecranon — typically occurring at year 1, 3, 5, 7, 9, and 11 – remember the order is the most important thing – all ossification centers should be accounted for.  Make sure one is not missing – or where one has been “created” traumatically.

If you don’t see the obvious fracture, you can be “saved” by the sail sign and/or a posterior fat pad.  Also, make sure to look for the anterior humeral line – on the lateral view, a line drawn down the anterior humerus – if it intersects with the middle third of the capitellum, that is normal – it not, suspect a supracondylar fracture.

The radiocapetellar line runs along the radial neck through the radial head and should line up nicely with the capitellum. If not, assume a fracture-dislocation.

Close communication and coordination with the orthopedist will help us to get the right care at the right time – there is some variability with orthopedic practice, so be open to that – we can make out biggest impact by making the right diagnosis, and aggressively treating pain and effectively providing procedural sedation when needed.

References

Alton TB et al.  Classifications In Brief: The Gartland Classification of Supracondylar Humerus Fractures. Clin Orthop Relat Res. 2015 Feb; 473(2): 738–741.

Hardwick J, S Srivastava S. Volkmann’s contracture of the forearm due to an insect bite: a case report and review of the literature. Ann R Coll Surg Engl. 2013 Mar; 95(2): e36–e37.

Kanj WW et al. Acute compartment syndrome of the upper extremity in children: diagnosis, management, and outcomes. J Child Orthop. 2013 Jun; 7(3): 225–233.

Krul M, van der Wouden JC, van Suijlekom-Smit LW, Koes BW. Manipulative interventions for reducing pulled elbow in young children. Cochrane Database Syst Rev. 2012 Jan 18;1:CD007759.

Leung S, Paryavi E, Herman MJ, Sponseller PD, Abzug JM. Does the Modified Gartland Classification Clarify Decision Making? J Pediatr Orthop. 2016 Mar 11. [Epub ahead of print]

Macias CG, Bothner J, Wiebe R. A comparison of supination/flexion to hyperpronation in the reduction of radial head subluxations. Pediatrics. 1998 Jul;102(1):e10.

Mallo G, Stanat SJ, Gaffney J. Use of the Gartland classification system for treatment of pediatric supracondylar humerus fractures. Orthopedics. 2010 Jan;33(1):19.

Bonus! Watch Larry Mellick Reduce a Nursemaid’s Elbow!

This post and podcast are dedicated to Andy Neill, MBBS.  Thank you for your humanism and your dogged dedication to connect with the learner and simplify complex concepts.  Welcome back, Andy!


150px-WikEM_app_Logo

Supracondylar Fractures

Powered by #FOAMed — Tim Horeczko, MD, MSCR, FACEP, FAAP

Pediatric; Emergency Medicine; Pediatric Emergency Medicine; Podcast; Pediatric Podcast; Emergency Medicine Podcast; Horeczko; Harbor-UCLA; Presentation Skills; #FOAMed #FOAMped #MedEd

emDOCs subscribes to the Free Open Access Meducation (FOAMed) initiative. Our goal is to inform the global EM community with timely and high-yield content about what providers like YOU are seeing and doing daily in your local ED.

WRITE FOR EMDOCS

We are actively recruiting both new topics and authors.
This project is rolling and you can submit an idea or write-up anytime!
Contact us at editors@emdocs.net

Newsletter Header

Join our Newsletter

Keep up to date on all of the latest new articles, studies, and Podcasts.

Popular Posts

Popular Categories

Share This:

Leave a Comment

Your email address will not be published. Required fields are marked *