Ultrasound for Retinal Detachment
By Stephen Alerhand MD
EM Resident Physician, Icahn School of Medicine at Mount Sinai
Edited by Alex Koyfman MD (@EMHighAK, EM Attending Physician, UTSW / Parkland Memorial Hospital)
Patient Case
A 52 year-old male with a past medical history of diabetes and hypertension presents to your emergency department at 6 AM on a Thursday night complaining of unilateral blurry vision. He tells you that upon awakening in the night to use the restroom, he noticed his vision seemed blurry. After initially chalking it up as feeling half-asleep in the middle of the night, he went back to bed but then got worried again upon awakening in the morning without any interval change. Startled, he had his wife drive him to the hospital. He normally wears glasses for reading but now reports seeing “foggy and wavy blurriness” when covering his left eye. He denies eye pain or discharge. He denies trauma or exposures.
On gross examination of the eye, everything looks normal. Of course, visual acuity is known as the “vital sign of the eye.” Even with glasses, OS vision is 20/80 versus OD 20/30.
Interlude
At this point, many emergency physicians would look to access their arsenal and repertoire of diagnostic paradigms to evaluate for unilateral decreased vision: fluorescein stain and Wood’s lamp for corneal abrasion, tonometry for glaucoma, slit lamp for close-up examination of the anterior chambers of the eye, ophthalmoscope for retinal evaluation. But let’s face it: to some degree, the eye is a complicated and difficult organ to evaluate with detail for many emergency physicians, especially residents in training. Sometimes, it is all too-easy to consult our friends in the Ophthalmology department. And this is okay.
But what if prior to doing so, there was another easy, fast, and non-invasive mechanism to evaluate the eye?
Literature
Yoonessi R, Hussain A, Jang TB. Bedside ocular ultrasound for the detection of retinal detachment in the emergency department. Acad Emerg Med. 2010 Sept;17(9):913-7.
Objective: Assess performance of ED US for diagnosis of RD
Type of study: Prospective observational
Methods: compared use of ocular US versus diagnosis by ophthalmologists blinded to results
Results:
- n=48 with acute vision changes
- 18 (38%) had RD. All correctly identified.
- 30 (62%) without RD. 25 correctly identified. 5 with vitreous hemorrhage thought to have RD.
- Sensitivity 100% (95% CI 78-100)
- Specificity 83% (95% CI 65-94)
Shinar Z, Chan L, Orlinsky M. Use of ocular ultrasound for the evaluation of retinal detachment. J Emerg Med. 2011 Jan;40(1):53-7.
Objective: Assess performance of ocular US as a useful adjunct for RD
Type of study: Prospective observational
Methods: Practitioners trained for 30 min. Submitted images of those patients thought to have RD.
Results:
- n=92 exams, 29 with RD
- Sensitivity 97% (95% CI 82-100)
- Specificity 92% (82-97%)
Vrablik ME, Snead GR, Minnigan HJ, Kirschner JM, Emmett TW, Seupaul RA. The diagnostic accuracy of bedside ocular ultrasonography for the diagnosis of retinal detachment: a systematic review and meta-analysis. Ann Emerg Med. 2015 Feb;65(2):199-203.
Type of study: Meta-analysis
Results:
- Sensitivity ranged from 97-100%
- Specificity from 83-100%
Performing Ocular Ultrasound of the Eye
- Have patient close eye
- Place Tegaderm over the high-frequency linear transducer
- Use lots of ultrasound gel to avoid significant contact and pressure to the eye
- Probe to the patient’s right side
- Adjust depth to place the entire eye within view
- Scan the retina in both planes
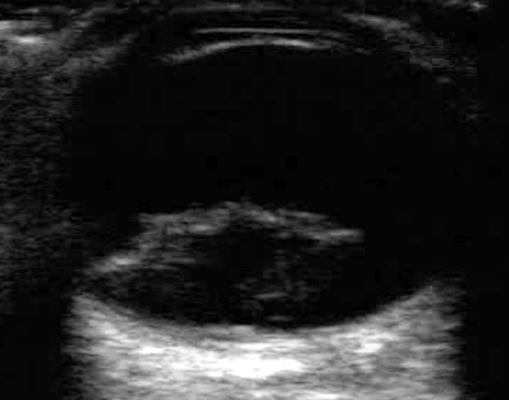
- The normal retina is continuous with other structures of the posterior eye. It is thus not visibly distinct.
- With retinal detachment, fluid enters into the space beneath the retinal epithelium. This “detaches” the retina from the posterior structures of the eye.
- The retina appears as a thick and hyperechoic “wiggly line.”
Advantages of Ocular Ultrasound for Diagnosing Retinal Detachment
- Quick, non-invasive, accurate (see literature above)
- No need for pupillary dilation
- Useful when ophthalmoscopy limited (periorbital swelling, trauma, contraindications to mydriatics)
Retinal Detachment ED Tid-Bits
- Sight-threatening
- Most common form is rhegmatogenous
- Tear in retinal epithelium
- Fluid from vitreous space accumulates between sensory retina and retinal pigment epithelium.
- Usually age-related
- Direct trauma is most common etiology in young patients
- Chief complaints: “flashes of light”, “sudden floaters”, “curtain drawn over vision”
- Early repair by Ophtho. Successful repair with one operation in 85% of cases
References / Further Reading
- https://www.acep.org/Clinical—Practice-Management/Focus-On–Ultrasound-for-Acute-Retinal-Detachment/?__taxonomyid=118010
- http://www.sonoguide.com/smparts_ocular.html
- See above for others on specificity and sensitivity
- http://www.ncbi.nlm.nih.gov/pubmed/24606775
- http://www.ncbi.nlm.nih.gov/pubmed/23601479
- http://www.ncbi.nlm.nih.gov/pubmed/23407040





2 thoughts on “Ultrasound for Retinal Detachment”
Pingback: LITFL Review 185 | LITFL: Life in the Fast Lane Medical Blog