Authors: Bristol Schmitz, MD (EM Resident Physician, Advocate Christ Medical Center), Katharine Burns, MD (EM Attending Physician and Assistant Ultrasound Director, Advocate Christ Medical Center), Celeste Cruz, MD (General Surgery Resident Physician, University of Illinois Hospital & Health Sciences System), and Kelly Williamson, MD (EM Attending Physician and Assistant Residency Program Director, Advocate Christ Medical Director) // Edited by: Alex Koyfman, MD (@EMHighAK) and Brit Long, MD (@long_brit)
Case
A 44-year-old female without past medical history presents to the emergency department with a chief complaint of “left lower extremity swelling.” The patient notes increased swelling and discoloration to her entire left leg for three days, associated with aching pain. She denies any history of similar symptoms in the past. She denies trauma to the leg, with no recent travel or immobilization. She does not take any medications and is a non-smoker. She denies family history of hypercoagulable states.
On exam her vitals are BP 140/85mmHg, Pulse 65bpm, Temp 98.4°F, RR 15breaths/min, SpO2 99% on room air. In general, she is a well appearing female in no acute distress. Neurologic, respiratory, cardiac, and abdominal exams are normal. Her extremity exam demonstrates unremarkable bilateral upper extremities and right lower extremity. Exam of the left lower extremity reveals a cool, swollen leg with 1+ pitting edema extending to the proximal thigh. The leg is painful to the touch with a “milk white” appearance consistent with phlegmasia alba dolens, with a 1+ DP pulse with delayed cap refill.
In a patient without any risk factors for thrombus or any other medical reason for hypercoagulability, what could cause an unprovoked left lower extremity thrombus?
May-Thurner Syndrome (MTS)
Background, Epidemiology, and Pathogenesis:
May-Thurner Syndrome, also known as Iliac Vein Compression Syndrome, occurs when the common iliac vein is compressed by an overlying common iliac artery. Typically, the left common iliac vein is compressed by the right common iliac artery1-3. In the photo below, the aorta descends along the left lateral side of the inferior vena cava, and then its terminal branch crosses on top of (and sometimes compresses) the left terminal branch of the inferior vena cava against the lumbar spine3. This compression can lead to discomfort, decreased venous return, and ultimately deep venous thrombosis (DVT)1,3. As the DVT initiates at a proximal location in the lower extremity, the thrombus can be very large and propagate quickly3.

The incidence of MTS is difficult to determine as it has been demonstrated in 2-60% of patients with chronic DVTs1,3. MTS usually appears in the 3rd – 5th decade1 with a 2:1 female-to-male ratio1,3 and is much more common in postpartum patients3,5.
History and Exam
The history should assess for risk factors for DVT, including but not limited to: previous DVTs, active cancer, recent trauma/surgery, exogenous OCP usage, smoking, decreased mobility states, and family history. However, as with the patient in the discussed case, MTS can appear in otherwise low-risk DVT patients3.
Although the exam will vary depending on clot burden, it is important to do a thorough physical exam. Evaluate the overall stability of the patient with vital signs and evaluate for complicating factors by running through the ABCs. A life-threatening complication, such as pulmonary embolism, is possible and needs to be at least considered during the exam. Focus on the neurovascular exam of the extremity and the need for potential limb-saving surgery. Small clots may be asymptomatic, but larger clots may cause arterial defects because of such large clot burden3-5.
Diagnosis
Ultrasonography, either bedside or formal, is the standard in the evaluation of lower extremity DVT2,3. Diagnosis of large left lower extremity DVT in a patient without other risk factors may lead the clinician to consider a diagnosis of MTS3. For large clot burden, and especially in the patient without risk factors for DVT, additional imaging such as CT/MR venogram may be ordered in discussion with appropriate consults including vascular surgery1,3,5.
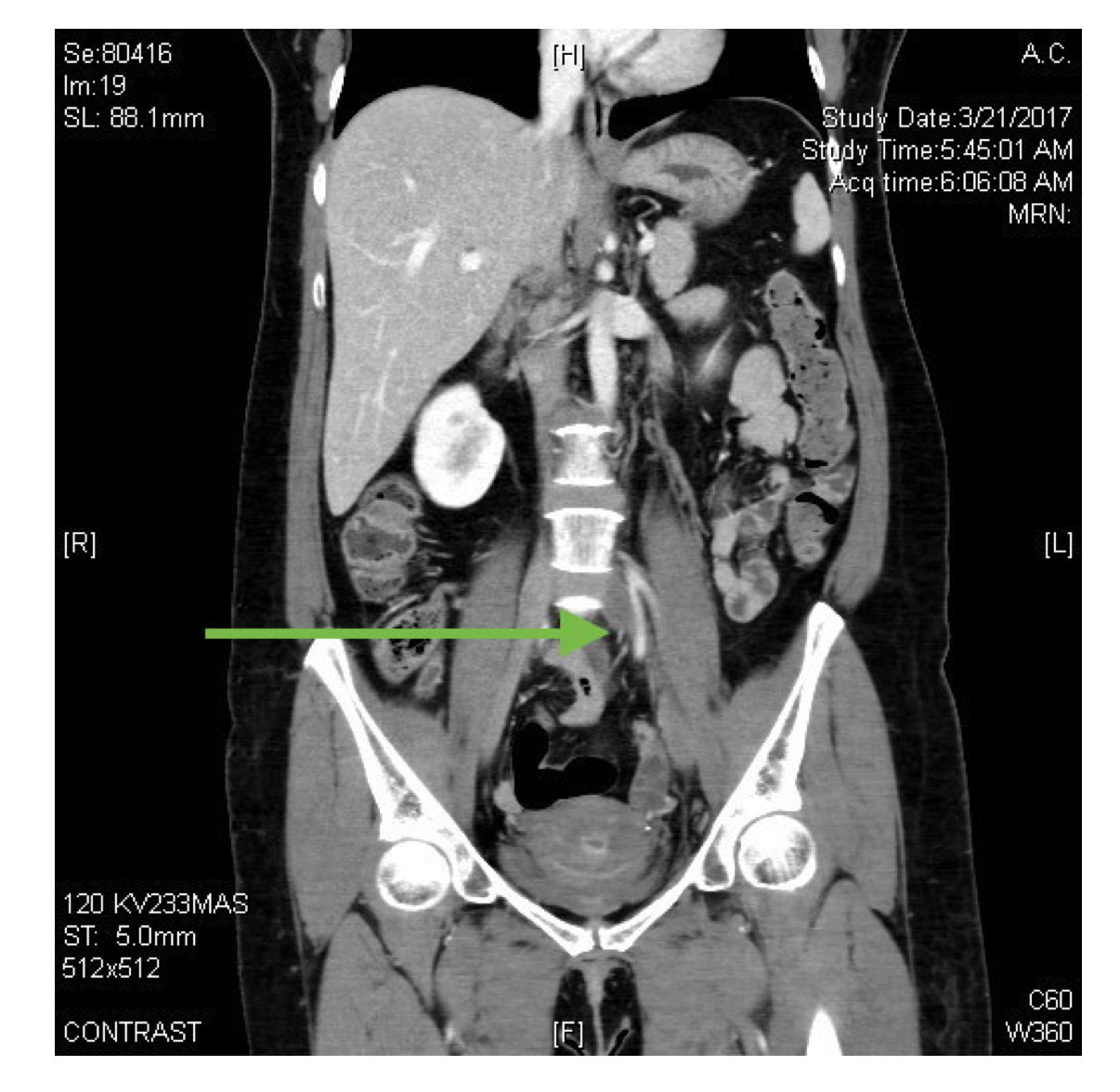
In the CTA abdomen/pelvis image below, the single coronal image arrow is placed to demonstrate the bifurcation of the distal aorta into the right and left iliac arteries. This “V” shape is seen with hyperdense contrast enhancing the vessels. These are the proximal iliac arteries, and thus the right iliac artery is still positioned on the left side of the body but will soon cross midline. Immediately inferior to the hyperdense right iliac artery, compression of the left common iliac vein is visualized with likely clot within the vessel.

While MTS can cause DVT formation in the right leg1,3, diagnosis of MTS without a left lower extremity DVT makes ED diagnosis very difficult and unlikely2.
How can Emergency Physicians use bedside ultrasound to make this diagnosis?
Lower extremity venous compression via ultrasound is compression of the venous system at 1 cm increments to evaluate for DVT. A linear probe is used for this process3,5. In larger patients, the curvilinear probe may be required due to increased depth.
Starting at the proximal thigh within the groin and heading distally, the veins are compressed by pressing the probe into the skin surface at a 90-degree angle, noting the collapse under external pressure3,5. Arteries near to the vein will most likely not compress. Arteries are thick-walled and pulsatile and are not easily compressible in comparison to the thin-walled easily collapsible veins. Start the exam at the proximal thigh, at the point where the Greater Saphenous Vein (GSV) of the superficial venous system meets the Common Femoral Vein (CFV) of the deep venous system. The EM provider then tracks the vein distally through the Femoral Vein, compressing at ~1 cm increments. The provider will then move the probe to the posterior aspect of the knee to evaluate the Popliteal Vein.
During compression with the probe, the anterior and posterior walls must touch for the vein to be called completely compressible. If they do not touch during compression with the probe, there is concern for a thrombus at that location. Following each vein as distally as possible until no longer able to discern the vein ensures evaluation of the entire deep venous system via ultrasound.
In the first photo below, color Doppler flow is depicted in the 2 surrounding arteries, however there is no blood flow in the large CFV. The second photo below depicts compression of this same vascular bundle. You can see that external compression has caused some flattening in the arteries, however the CFV is full of clot and does not compress.

Emergency Department Management
When considering May-Thurner Syndrome as a diagnosis, evaluating for emergent issues are a priority3. Does the patient continue to have distal pulses? Does the patient have any signs of a pulmonary embolism? If so, these must be dealt with immediately.
Consulting and discussing the patient with vascular surgery is essential and starting the patient on anticoagulation is a critical action1,3. The anticoagulation of choice and delivery method should be decided in conjunction with your vascular surgery consultant to allow for continued and timely treatment of the patient3,4.
ED management then depends on optimizing patient care with the admitting team and consults. Additional imaging studies may help prepare the patient for definitive treatment3. Keeping the patient NPO and ordering pre-op labs in the event the patient receives a thrombectomy is prudent.
Case Resolution
This patient was started on a heparin drip, and vascular surgery was consulted. She was taken to the operating room the next day where a thrombectomy was performed. An iliac vein stent was also placed. Although the patient developed a subsegmental pulmonary embolism, the patient was discharged without any long-term sequela from the event.
Pearls
–Large clot burden in a low-risk patient should raise suspicion for May-Thurner Syndrome, a process of clot formation caused by compression of the common iliac vein by the overlying common iliac artery which lie in normal anatomical positions.
–Lower extremity venous compression with bedside ultrasound helps the ED physician evaluate for DVT in an efficient manner.
– May-Thurner Syndrome requires a multi-specialty approach to management.
References/Additional Reading:
- Lee, et al. “The Hidden Lesion”. New England Journal of Medicine. 2016, 374:2160-2165.
- Fazel, et al. “A Sinister Development”. New England Journal of Medicine. 2007, 357:53-59.
- Mousa, et al. “May-Thurner Syndrome”. UpToDate. 2017. Last update 30 May 2017. Accessed online 30 December 2017.
- Patel, et al. “Endovascular management of acute extensive iliofemoral deep venous thrombosis caused by May-Thurner syndrome.” J Vasc Interv Radiol. 2000, Nov-Dec; 11(10): 1297-302.
- Mousa, et al. “May-Thurner Syndrome: Update and Review”. Ann Vasc Surg. 2013; 27:984-995.
- Photo: Case courtesy of Dr. Omar Bashir, Radiopaedia.org, rID: 17031. Accessed online 31 December 2017.
1 thought on “A Case of Rare Cause of DVT in the Young, Healthy Patient”
Pingback: LITFL Review 320 | Edwin M. Thames