Authors: Rachel Bridwell, MD (EM Attending Physician; Tacoma, WA), Katey DG Osborne, MD (EM Attending Physician; Tacoma, WA) // Reviewed by: Alex Koyfman, MD (@EMHighAK, EM Attending Physician, UTSW / Parkland Memorial Hospital) and Brit Long, MD (@long_brit, EM Attending Physician, San Antonio, TX)
Welcome to emDOCs revamp! This series provides evidence-based updates to previous posts so you can stay current with what you need to know.
A 43-year-old male with a history of mitral valve regurgitation s/p valvular replacement, hypertension, hyperlipidemia was evaluated in the ED for septic shock secondary to a pyelonephritis with a renal abscess. He was started appropriately on vancomycin and cefepime and accepted for ICU admission but remains in the ED due to boarding and bed lock. He has clinically deteriorated and required intubation. Despite increasing doses of 30 mcg/min norepinephrine, 0.04U/min vasopressin, 100 mg hydrocortisone, and 10 mcg/kg/min of dobutamine, the patient is becoming increasing hypotensive.
VS: BP 81/44 mmHg, HR 38 bpm, T 101.2°F esophageal, RR 14 bpm, SpO2 98% on 40% FiO2.
General: Intubated sedated
CV: Tachycardic, regular rhythm, systolic murmur
Pulm: Clear to auscultation bilaterally
Skin: Mottled and cool
Neuro: GCS 3T
What is the underlying this patient’s vasopressor and inotrope refractory shock?
Answer: Left Ventricular Outflow Tract Obstruction (LVOTO)1-17
Underlying Principles
- LVOTO occurs secondary to the systolic anterior motion (SAM) of the mitral valve (MV)
- Blood velocity increases due to narrowed LV outflow, forcing outflow tract and mitral valve in closer proximity1
- Venturi effect causes the mitral valve to lift anteriorly towards increased velocity of blood flow2
- Causes physical obstruction of outflow3
- SAM of the MV additionally generates mitral regurgitation, increasing left atrial pressures and in turn, resulting in cardiogenic pulmonary edema3
- Venturi effect causes the mitral valve to lift anteriorly towards increased velocity of blood flow2
- Blood velocity increases due to narrowed LV outflow, forcing outflow tract and mitral valve in closer proximity1
Contributing Factors
- Physiologic:
- Dormant LVOTO—subset of patients have an amount of outflow tract obstruction without effect until pathophysiologically provoked4
- g. hyperdynamic contractility, reduced preload and/or afterload, inotropes, tachycardia4
- Anatomic
- Floppy mitral valve1
- Decreased left ventricular volume, especially secondary to septal hypertrophy5
- Dormant LVOTO—subset of patients have an amount of outflow tract obstruction without effect until pathophysiologically provoked4
Phenotypes of presentation
- Apical hypokinesis in the setting of Left Anterior Descending coronary artery occlusion4,5
- Volume depletion with distributive shock4
- Present in up to 2% of septic patients6
- Takotsubo cardiomyopathy7,8
- Hypertensive cardiomyopathy9
- Hypertrophic obstructive cardiomyopathy5
- Cor pulmonale10
Clinical Presentation
- These patients are critically ill.
- Vital signs:
- Hypotensive and tachycardic, despite escalating vasopressor and inotropic requirements11
- Hypoxia and respiratory distress – due to pulmonary edema
- Cardiac arrest12
- Cardiogenic pulmonary edema13
- Refractory or exacerbated by diuresis13
- Cardiogenic shock13
- Refractory or exacerbated by inotropes and any vasopressor with beta activity13
- May appreciate new end systolic murmur on auscultation11
Evaluation
- Chest Radiograph
- Non-specific but may show pulmonary edema
- ECG
- Non-specific – Tachycardia
- Evaluate for anterior ST elevation myocardial infarction (STEMI)
- If associated with HCM:
- High voltages, “dagger-like” Q waves
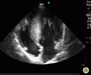
- Echocardiography4,11,14
- Assess LV size4,11,14
- Hypertrophy especially at septum with resulting obstruction and decreased LV size:

Courtesy of POCUS Atlas: https://www.thepocusatlas.com/pediatrics-1/3gcr6yneuyx87qxkx71bgsnkywqmi1
- Hypertrophy especially at septum with resulting obstruction and decreased LV size:
- Apical hypokinesis with basal hyperkinesis causing functional obstruction
- Look for a hyperdynamic LV with a very small ventricular cavity during systole
- SAM
- Poor LV filling and outflow obstruction in sepsis on vasopressors and inotropes with LVOTO:

Courtesy of Pocus Atlas: https://www.thepocusatlas.com/valvulopathy/left-ventricular-outflow-tract-obstruction - Mitral regurgitation (may be secondary to SAM)

Courtesy of POCUS Atlas: https://www.thepocusatlas.com/valvulopathy/voxh2mkf0tal26fvdya3qgmq0go7ey - Doppler4,14
- High-velocity, late-peaking continuous-wave Doppler through LV with classic dagger shape4

- Maximal LVOT pressure gradient:
- > 30 mm Hg (2.7 m/s)—problematic and elevated
- > 50 mm Hg (2.5 m/s)—severely elevated
- High-velocity, late-peaking continuous-wave Doppler through LV with classic dagger shape4
- Assess LV size4,11,14
- Labs
- May acquire ECG, complete blood count, comprehensive metabolic panel, troponin, beta natriuretic peptide
- May demonstrate evidence of heart failure, acute renal failure, shock liver, or other evidence of end organ damage, though does not change management
- May acquire ECG, complete blood count, comprehensive metabolic panel, troponin, beta natriuretic peptide
Treatment:
- Medications/interventions to stop/avoid:
- Inotropes4,15
- Afterload reduction4,15
- Intra-aortic balloon pump (in discussion with cardiology)
- Administer judicious fluids to increase preload
- Pure vasoconstriction without beta agonism
- Phenylephrine—convenient and short half-life15
- Directly treats vasoplegia associated with sepsis6
- Vasopressin6
- Please avoid norepinephrine and epinephrine due to beta agonism16
- Phenylephrine—convenient and short half-life15
- Beta blockade: decreases LVOTO with increased filling time and mitigates hyperdynamic LV17
- Esmolol — for careful titration and short half-life17
Disposition:
- Admit to ICU
- Formal echocardiography
- Quantification of LVOT pressure gradient
Pearls:
- Similar to LVOTO will have the opposite expected physiologic result in response to medications given.
- Suspect in patients with shock refractory or worsened by vasopressors and inotropes
- Additionally, consider in cardiogenic shock worsening by diuresis
- Systolic anterior mitral valve motion both impairs left ventricular outflow and causes mitral regurgitation.
- Occurs secondary to a various of anatomic and pathophysiologic conditions including:
- Distributive shock with volume depletion
- Cor pulmonale
- Hypertrophic obstructive cardiomyopathy
- Hypertensive cardiomyopathy
- LAD occlusion with apical hypokinesis
- Takotsubo cardiomyopathy
- To correct the outflow obstruction, increase the size and filling time of the left ventricle:
- Stop inotropes and diuretics
- Judicious volume resuscitation
- Increase the systemic vascular resistance with phenylephrine and/or vasopressin
- Rate control with beta blockade using esmolol
- Admit these patients to the ICU
- Suspect in patients with shock refractory or worsened by vasopressors and inotropes
Further Reading:
- For more on right heart failure, please see this post: emDOCS Right Heart Failure
References:
- Slama M, Tribouilloy C, Maizel J. Left ventricular outflow tract obstruction in ICU patients. Curr Opin Crit Care. 2016;22(3):260-266. doi:10.1097/MCC.0000000000000304
- Alrammah H, Ghazal S. Significant left ventricular outflow tract obstruction secondary to systolic anterior motion in a patient without hypertrophic cardiomyopathy: An echocardiographic study. J Saudi Hear Assoc. 2018;30(4):336. doi:10.1016/J.JSHA.2018.07.001
- Sherrid M V., Chu CK, Delia E, Mograder A, Dwyer EM. An echocardiographic study of the fluid mechanics of obstruction in hypertrophic cardiomyopathy. J Am Coll Cardiol. 1993;22(3):816-825. doi:10.1016/0735-1097(93)90196-8
- Evan JS, Huang SJ, McLean AS, Nalos M. Left ventricular outflow tract obstruction-be prepared! Anaesth Intensive Care. 2017;45(1):12-20. doi:10.1177/0310057X1704500103
- Louie EK, Edwards LC. Hypertrophic cardiomyopathy. Prog Cardiovasc Dis. 1994;36(4):275-308. doi:10.1016/S0033-0620(05)80036-2
- Balik M, Novotny A, Suk D, et al. Vasopressin in Patients with Septic Shock and Dynamic Left Ventricular Outflow Tract Obstruction. Cardiovasc drugs Ther. 2020;34(5):685-688. doi:10.1007/S10557-020-06998-8
- Shah BN, Curzen NP. Reversible systolic anterior motion of the mitral valve and left ventricular outflow tract obstruction in association with Takotsubo syndrome. Echocardiography. 2011;28(8):921-924. doi:10.1111/J.1540-8175.2011.01446.X
- Pilgrim TM, Wyss TR. Takotsubo cardiomyopathy or transient left ventricular apical ballooning syndrome: A systematic review. Int J Cardiol. 2008;124(3):283-292. doi:10.1016/J.IJCARD.2007.07.002
- Meuwese CL, Boulaksil M, van Dijk J, Polad J, Meijburg HW. Transient left ventricular outflow tract obstruction with systolic anterior motion of the mitral valve: A stunning cause. Echocardiography. 2017;34(7):1089-1091. doi:10.1111/ECHO.13553
- Kim S, Kim SJ, Kim J, Yoon P, Park J, Moon J. Dynamic obstruction induced by systolic anterior motion of the mitral valve in a volume-depleted left ventricle: an unexpected cause of acute heart failure in a patient with chronic obstructive pulmonary disease. J Thorac Dis. 2015;7(9):E365-E369. doi:10.3978/J.ISSN.2072-1439.2015.09.22
- Pérez C, Diaz-Caicedo D, Almanza Hernández DF, Moreno-Araque L, Yepes AF, Carrizosa Gonzalez JA. Critical Care Ultrasound in Shock: A Comprehensive Review of Ultrasound Protocol for Hemodynamic Assessment in the Intensive Care Unit. J Clin Med. 2024;13(18):5344. doi:10.3390/JCM13185344
- Yamagishi T, Tanabe T, Fujita H, et al. Conventional cardiopulmonary resuscitation-induced refractory cardiac arrest due to latent left ventricular outflow tract obstruction due to a sigmoid septum: a case report. J Med Case Rep. 2018;12(1). doi:10.1186/S13256-018-1767-Z
- Madias JE. Left ventricular outflow tract obstruction/hypertrophic cardiomyopathy/takotsubo syndrome: A new hypothesis of takotsubo syndrome pathophysiology. Curr Probl Cardiol. 2024;49(8). doi:10.1016/J.CPCARDIOL.2024.102668
- Geske JB, Sorajja P, Ommen SR, Nishimura RA. Left ventricular outflow tract gradient variability in hypertrophic cardiomyopathy. Clin Cardiol. 2009;32(7):397-402. doi:10.1002/CLC.20594
- MOZELL D, SHAH N, CASTILLON JJR, GONUGUNTLA VT, AWERBUCH E. EPINEPHRINE-INUDCED SHOCK: LEFT VENTRICULAR OUTFLOW TRACT OBSTRUCTION ON VASOPRESSORS. Chest. 2024;166(4):A3026-A3027. doi:10.1016/J.CHEST.2024.06.1821
- Mampuya WM, Dumont J, Lamontagne F. Norepinephrine-associated left ventricular outflow tract obstruction and systolic anterior movement. BMJ Case Rep. 2019;12(12). doi:10.1136/BCR-2018-225879
- Dawood S, Hill A, Al Rawi O. Esmolol for acute pulmonary embolism with left ventricular outflow tract obstruction. Anaesth Reports. 2021;9(1):e12099. doi:10.1002/ANR3.12099